
![]()
今や歯並びが悪いと歯列矯正できれいに歯を並べるのは常識となっています。しかし、10歳以下ならば歯並びより優先することがあります。それは、頭や顎の骨を正しい成長方向に導くことです。このことはなかなか解ってもらえないのですが、それにより鼻の気道が広がり、沈下していた舌が上がり鼻で呼吸がしやすくなります。そういう状態になれば頭位は顎を引いた正しい姿勢になり、自ずと歯はいい位置に並んできて、抜歯の必要性がなくなります。それは、きれいな歯並び以上にその子の将来に渡っての健康に大きく寄与します。人は休むことなく息をしています。従って、呼吸をしやすい身体がどれほどその子の人生が健康で豊かになるかわかっていただきたいと思います。
このような治療法を顎顔面口腔育成治療と呼ぶこともあります。特に、ランパ(RAMPA)という装置の開発により上顎を上前方の正しい位置にまで持ち上げることが可能になり大きく発展しました。従って、この治療法をランパ(RAMPA)治療ともいいます。私は35年にわたり歯列矯正に係わってきましたが4年前からこの治療法を取り入れるにおよんで歯科と健康に対する考え方が大きく変わりました。
三谷寧先生の開発により10年程前から行われてきた治療法ですが、歯並びと呼吸の関係が明らかになるにつれ、歯科界でも急速に認知され始めました。それに伴って、装置もどんどん進化しています。しかし、従来の歯列矯正に比べて、特別な知識と技術が必要なために扱える歯科医が少ないのが現状です。当院では従来の歯列矯正も行いますが、基本的には低年齢の子供にはランパ治療で対応しています。顎顔面口腔育成治療のうち、ランパを用いないバイオブロックという半世紀前から行われてきた治療法もあるのですが、比較的軽度な症例に限られるので実質ランパ治療に頼らざるを得ないというのが実情です。また、この治療法は永久歯列になってもできなくはないのですが、ランパの使用時間が15時間以上必要になり、現実的にはむずかしくなります(学校や会社での装着が必要となります)。その場合は、従来の歯列矯正法の考え方で治療させていただくこともあります。
RAMPA; Right Angle Maxillary Protraction Applianceの略で上顎を正しい方向に牽引する装置という意味です。
従来の歯列矯正法 床矯正やワイヤーを用いた歯列矯正法のこと。スペースが足りないと抜歯することもあります。
顎顔面口腔育成治療 顎顔面口腔育成研究会のホームページに詳しい情報があります。


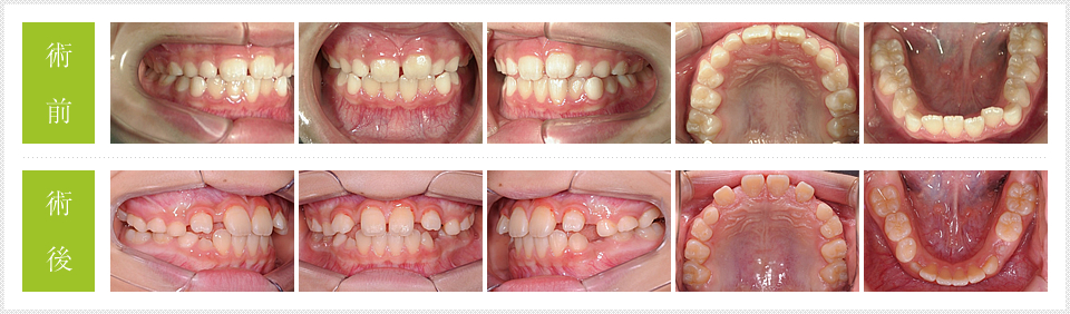
口の中の写真を見ると術前の方がきれいに並んでいるように見えますが、歯のレントゲンで確認すると左右の犬歯が生えるスペースが全くなく、このままでは完全に八重歯になってしまいます。術後の写真は上の前歯が開いているよう見えますが、左右の犬歯が出てくるときに2番目の歯を真ん中に寄せながら生えてくるので今の段階ではこれでいいのです。この段階から順次、歯が生えて行くのを観察するのです。

頭のレントゲンを見ると術前は、鼻の気道が狭く、舌骨が下がっているのがわかります。舌の位置は舌骨が頚椎のどの高さにあるかで見ます。最初は4番目付近ですが、術後は3番ぐらいまで上がっています。これは大変な変化で当然、鼻の気道も広がっています。(赤○印)
このことは上下の顎を側方に広げ、上顎の前歯を上前方に上げて舌が引き上げられた結果です。
舌が引き上げられた状態で、ステージ3という装置を使い続けると徐々に上顎の後方が上がってこのように鼻の気道が広くなります。この治療法をバイオブロック治療といいます。
ランパはこの上顎骨を上げるのと前歯を上前方に位置づけるのを一気に行う装置です。
顎顔面口腔育成治療により気道の幅が確保され、舌が正しい位置に来ると歯が正しい位置に並んできて後戻りはほとんどありません。